Table of Contents
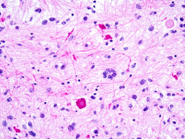
Washington University Experience | NEOPLASMS (GLIAL) | Astrocytoma, pilocytic - Microscopic | 41A1 Astrocytoma, pilocytic (Case 41) 7.j
Case 41 22 year old female, posterior fossa ---- A nice example of pennies on a plate (H&E).
