Table of Contents



Washington University Experience | NEOPLASMS (GLIAL) | Astrocytoma, pilocytic - Microscopic | 44B2 Astrocytoma, pilocytic (Case 44) H&E 4

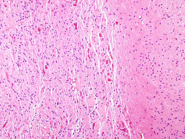
44B2 Astrocytoma, pilocytic (Case 44) H&E 4
Sharp margin with the surrounding brain (H&E)


Gallery RSS RSS Feed | Archive View | Login | Powered by Zenphoto