Table of Contents
« prev
next »
Washington University Experience
|
NEOPLASMS (GLIAL)
|
Astrocytoma, pilocytic - Microscopic
|
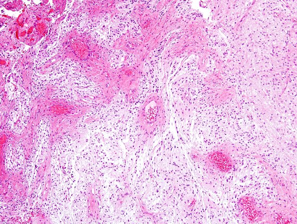
46A2 Astrocytoma, pilocytic (Case 46) H&E 16
Biphasic growth pattern.
Image Info
Camera Maker:
Olympus Corporation
Camera Model:
DP70
Original Time Taken:
08-12-2013
Shutter Speed:
1/345 sec
ISO Sensitivity:
200
Metering Mode:
Spot
Gallery RSS
|
Archive View
|
Login
|
Powered by
Zenphoto