Table of Contents
Washington University Experience | NEOPLASMS (GLIAL) | Astrocytoma, pilocytic - Microscopic | 4A1 Astrocytoma, pilocytic (70 yo, Case 4) FLAIR 1 - Copy - Copy
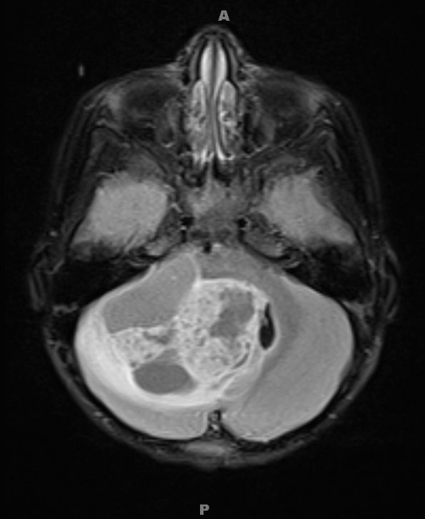
Case 4 ---- 4 year old male, cerebellar mass with BRAF fusion rearrangement. ---- 4A1,2 MRI images of FLAIR imaging (4A1) and T1-weighted contrast administered scan enhancing tumor (4A2).
