Table of Contents
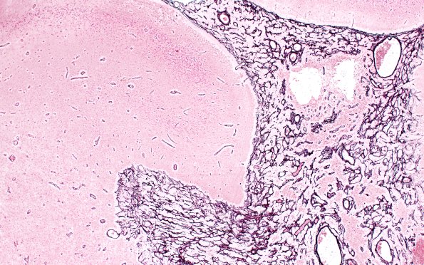
Washington University Experience | NEOPLASMS (GLIAL) | Astrocytoma, pilocytic - Microscopic | 50B2 Astrocytoma, pilocytic (Case 50) Retic 4X
50B2-5 Sequentially higher magnifications of the junction of brain and SAS/leptomeninges. (Reticulin)
