Table of Contents
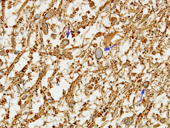
Washington University Experience | NEOPLASMS (GLIAL) | Astrocytoma, pilocytic - Microscopic | 5C2 Astrocytoma, pilocytic (Case 5) GFAP 3 copy
the appearance of Rosenthal fibers as relatively unstained material surrounded by a rind of GFAP labeled filaments (arrow, GFAP IHC)
