Table of Contents
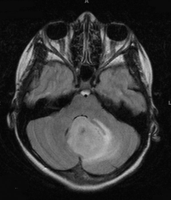
Washington University Experience | NEOPLASMS (GLIAL) | Astrocytoma, pilocytic - Microscopic | 7A1 Astrocytoma, pilocytic (necrosis, Case 7) FLAIR
Case 7 ---- 11 year old female, cerebellum ---- 7A1,2 MRI studies demonstrate the tumor appearance with FLAIR imaging (7A1) and T1-weighted image with contrast (7A2)
