Table of Contents
Washington University Experience | NEOPLASMS (GLIAL) | Astrocytoma, IDH-mutant, WHO Grade 2 | 10A1 (Case 10) FLAIR - Copy
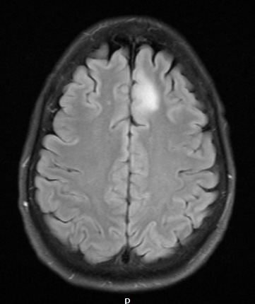
Case 10 History ---- The patient is a 53-year-old woman with a six month history of headaches unrelieved by medications and an increasing feeling of pressure behind her eyes. MRI showed a T2/FLAIR expansile cortically based lesion within the medial left frontal lobe with no corresponding enhancement or increased relative cerebral blood volume on perfusion studies. Radiological impression: Favor low grade glioma. ---- 10A1 There is a small hyperintense mass demonstrated in the left medial frontal lobe on this FLAIR exam.
