Table of Contents
« prev
next »
Washington University Experience
|
NEOPLASMS (GLIAL)
|
Astrocytoma, IDH-mutant, WHO Grade 2
|
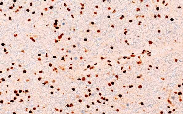
10D (Case 10) ATRX 40X
There is no clearly-discernable atypical cell population exhibiting 'loss' of ATRX expression. (ATRX IHC)
Image Info
Camera Maker:
Olympus
Camera Model:
DP74
Shutter Speed:
32/7767 sec
Metering Mode:
Multi-Spot
Gallery RSS
|
Archive View
|
Login
|
Powered by
Zenphoto