Table of Contents



Washington University Experience | NEOPLASMS (GLIAL) | Astrocytoma, IDH-mutant, WHO Grade 2 | 15A2 (Case 15) T1W - Copy

15A2 (Case 15) T1W - Copy
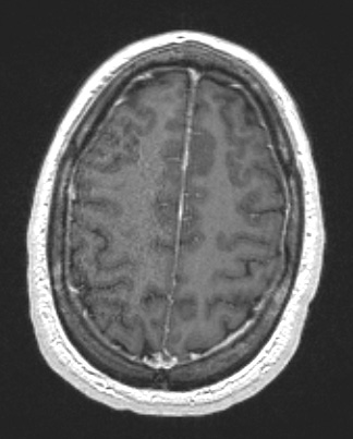
A T1-weighted contrast administered scan fails to show tumor enhancement.


Gallery RSS RSS Feed | Archive View | Login | Powered by Zenphoto