Table of Contents
« prev
next »
Washington University Experience
|
NEOPLASMS (GLIAL)
|
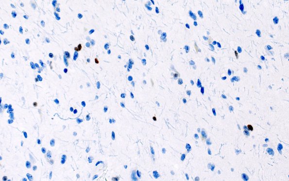
Astrocytoma, IDH-mutant, WHO Grade 2
|
15E (Case 15) p53 40X
P53 expression is rare, consistent with wild type expression. (P53 IHC)
Image Info
Camera Maker:
Olympus
Camera Model:
DP74
Shutter Speed:
32/7767 sec
Metering Mode:
Multi-Spot
Gallery RSS
|
Archive View
|
Login
|
Powered by
Zenphoto