Table of Contents
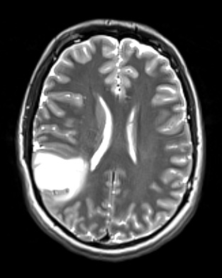
Washington University Experience | NEOPLASMS (GLIAL) | Astrocytoma, IDH-mutant, WHO Grade 2 | 17A1 (Case 17) T2W - Copy
Case 17 History ---- The patient is a 21-year-old man presenting with new onset of seizure-like activity. MRI shows a right parietal lobe cortical based non-enhancing lesion. Operative procedure: IMRI right parietal craniotomy for tumor resection. ---- 17A1 The right parietal tumor is hyperintense in this T2-weighted scan with applied contrast.
