Table of Contents



Washington University Experience | NEOPLASMS (GLIAL) | Astrocytoma, IDH-mutant, WHO Grade 2 | 17A2 (Case 17) T1W - Copy

17A2 (Case 17) T1W - Copy
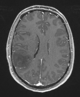
The T1-weighted contrast applied scan fails to show enhancement.


Gallery RSS RSS Feed | Archive View | Login | Powered by Zenphoto