Table of Contents
« prev
next »
Washington University Experience
|
NEOPLASMS (GLIAL)
|
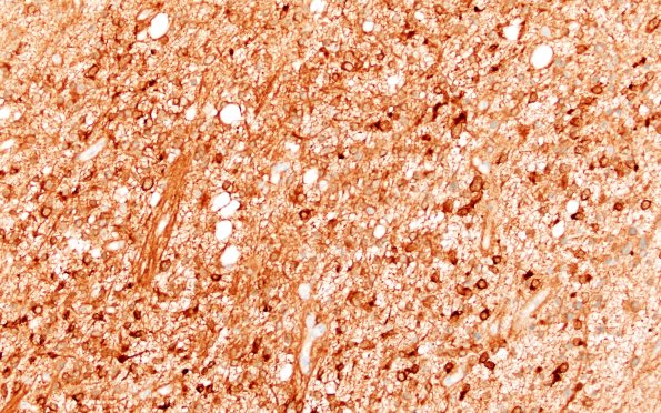
Astrocytoma, IDH-mutant, WHO Grade 2
|
17C1 (Case 17) IDH 20X
17C1,2 Mutant IDH1 (R132H) is diffusely and strongly positive. (IDH1 IHC)
Image Info
Camera Maker:
Olympus
Camera Model:
DP74
Shutter Speed:
7/5000 sec
Metering Mode:
Multi-Spot
Gallery RSS
|
Archive View
|
Login
|
Powered by
Zenphoto