Table of Contents
Washington University Experience | NEOPLASMS (GLIAL) | Astrocytoma, IDH-mutant, WHO Grade 2 | 7A1 (Case 7) T2W - Copy
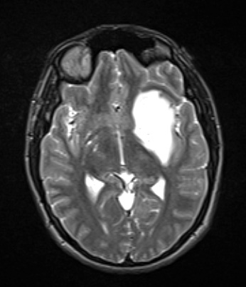
Case 7 History ---- The patient is a 24-year-old man with a history of diffuse glioma with IDH-R132C mutation. Cytogenetic abnormalities include polysomy of chromosome 1, 19 and 7 without EGFR gene amplification or 1p19q co-deletion. Operative procedure: Left insular/temporal MRI-guided Monteris laser ablation. ---- Prior to any surgery the following images were obtained. ---- 7A1This T2-weighted contrast applied image shows a large hyperintense mass involving the insular and temporal cortices.
