Table of Contents



Washington University Experience | NEOPLASMS (GLIAL) | Astrocytoma, IDH-mutant, WHO Grade 2 | 7A2 (Case 7) T1W - Copy

7A2 (Case 7) T1W - Copy
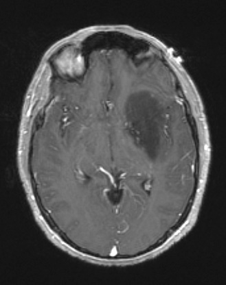
A T1-weighted image with administered contrast fails to show enhancement.


Gallery RSS RSS Feed | Archive View | Login | Powered by Zenphoto