Table of Contents
« prev
next »
Washington University Experience
|
NEOPLASMS (GLIAL)
|
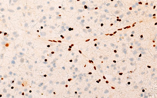
Astrocytoma, IDH-mutant, WHO Grade 2
|
7C2 (Case 7) ATRX 40X
Immunohistochemical stains show loss of nuclear ATRX expression. (ATRX IHC)
Image Info
Camera Maker:
Olympus
Camera Model:
DP74
Shutter Speed:
1/100 sec
Metering Mode:
Multi-Spot
Gallery RSS
|
Archive View
|
Login
|
Powered by
Zenphoto