Table of Contents
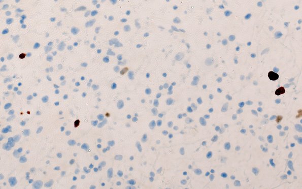
Washington University Experience | NEOPLASMS (GLIAL) | Astrocytoma, IDH-mutant, WHO Grade 2 | 7D (Case 7) Ki67 40X
The proliferation marker Ki-67 is mildly elevated (~5% of cells). (Ki67 IHC) ---- Not shown: The tumor cells were not immunoreactive for mutant R132H IDH1; however, NGS studies demonstrated a IDH1-R132C mutation.
