Table of Contents
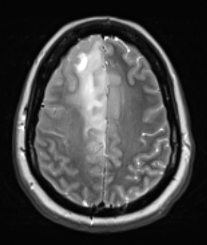
Washington University Experience | NEOPLASMS (GLIAL) | Astrocytoma, IDH-mutant, WHO Grade 2 | 8A1 (Case 8) T2W - Copy
Case 8 History ---- The patient is a 45-year-old woman with a history of hypertension and increasing headaches since November 2016. MRI showed T2 vascular hyperintense lesions in the right frontal lobe and meningeal left frontal lobe white matter, favoring a glial neoplasm versus lymphoma. Operative procedure: Right frontal craniotomy for biopsy of brain tumor. ---- 8A1 The lesion is represented by a diffuse hyperintensity of the right frontal lobe in this T2-weighted contrast administered scan.
