Table of Contents



Washington University Experience | NEOPLASMS (GLIAL) | Astrocytoma, IDH-mutant, WHO Grade 2 | 8A2 (Case 8) T1W - Copy

8A2 (Case 8) T1W - Copy
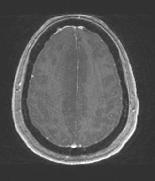
The T1-weighted contrast administered image is hypointense and fails to enhance with contrast.


Gallery RSS RSS Feed | Archive View | Login | Powered by Zenphoto