Table of Contents



Washington University Experience | NEOPLASMS (GLIAL) | Astrocytoma, IDH-mutant, WHO Grade 2 | 9A2 (Case 9) T1W - Copy

9A2 (Case 9) T1W - Copy
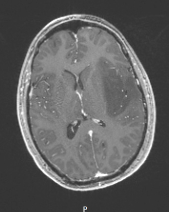
A T1-weighted scan shows a hypointense mass which fails to enhance with contrast.


Gallery RSS RSS Feed | Archive View | Login | Powered by Zenphoto