Table of Contents
* Check/uncheck all *
City
Country
Description
Location/Place
State
Tags
Title
Washington University Experience
|
NEOPLASMS (GLIAL)
|
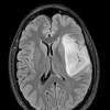
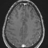
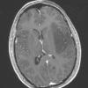
Astrocytoma, IDH-mutant, WHO Grade 2 (6)
« prev
1
...
4
5
6
7
8
...
13
next »
Gallery RSS
|
Archive View
|
Login
|
Powered by
Zenphoto