Table of Contents
Washington University Experience | NEOPLASMS (GLIAL) | Diffuse midline glioma, H3 K27-altered | 16A2 DMG (Case 16) T1NoC AX - Copy
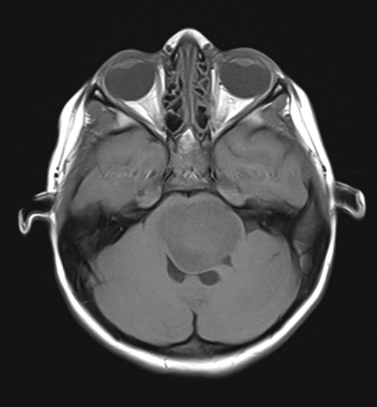
These T1-weighted scans without contrast show a pontine-centered mostly isointense mass occupying almost all of the pons and displacing the cerebellum.
