Table of Contents



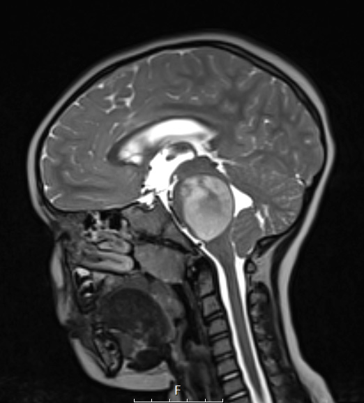
Washington University Experience | NEOPLASMS (GLIAL) | Diffuse midline glioma, H3 K27-altered | 16A3 DMG (Case 16) T2 w - Copy

16A3 DMG (Case 16) T2 w - Copy
16A3,4 T2-weighted scans with (16A3) and without (16A4) contrast show a hyperintense mass.


Gallery RSS RSS Feed | Archive View | Login | Powered by Zenphoto