Table of Contents



Washington University Experience | NEOPLASMS (GLIAL) | Diffuse midline glioma, H3 K27-altered | 16A4 DMG (Case 16) T2 NOC - Copy

16A4 DMG (Case 16) T2 NOC - Copy
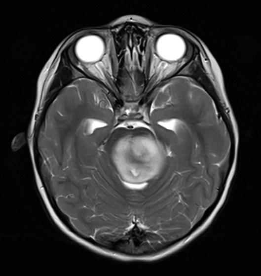
A T2-weighted scan with contrast shows a hyperintense mass.


Gallery RSS RSS Feed | Archive View | Login | Powered by Zenphoto