Table of Contents
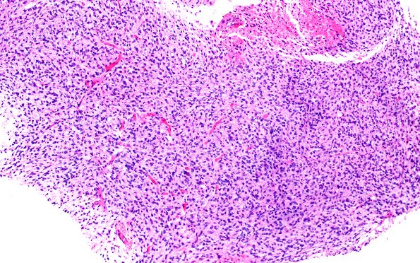
Washington University Experience | NEOPLASMS (GLIAL) | Diffuse midline glioma, H3 K27-altered | 16B1 DMG (Case 16) H&E 10X
16B1-4 H&E-stained sections show small fragments of brain parenchyma infiltrated by a markedly hypercellular glioma. The tumor is composed of mildly pleomorphic cells with indistinct cytoplasmic borders and scant amounts of eosinophilic cytoplasm. The cells have round to ovoid nuclei with mild atypia, fine chromatin, and micronucleoli in a subset. Mitoses are increased, and scattered karyorrhectic debris is present. Microvascular proliferation and necrosis are not appreciated in this limited sample. (H&E)
