Table of Contents
« prev
next »
Washington University Experience
|
NEOPLASMS (GLIAL)
|
Diffuse midline glioma, H3 K27-altered
|
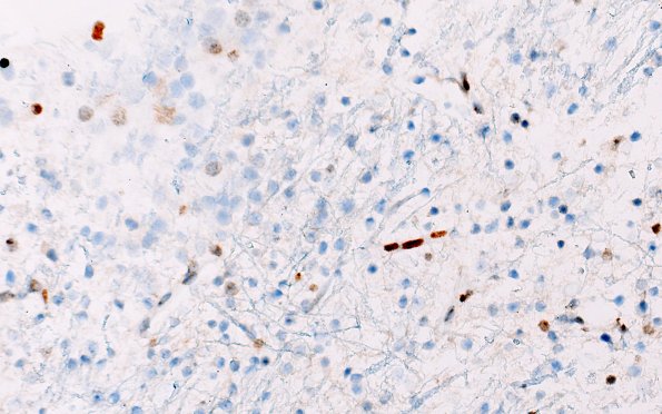
16G DMG (Case 16) H3K27MES3 40X 1
Tumor cells show a corresponding loss of H3-K27 Me3 (trimethylation).
Image Info
Camera Maker:
Olympus
Camera Model:
DP74
Shutter Speed:
30/7109 sec
Metering Mode:
Multi-Spot
Gallery RSS
|
Archive View
|
Login
|
Powered by
Zenphoto