Table of Contents
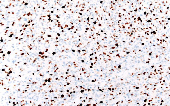
Washington University Experience | NEOPLASMS (GLIAL) | Diffuse midline glioma, H3 K27-altered | 16H DMG (Case 16) Ki67 20X 1
Ki-67 proliferation index is high, estimated to be up to 40-50%. (Ki67 IHC) ---- Send-out DNA and RNA sequencing studies to Caris showed a mutation of HISTH3B, coding for a pathogenic variant of Exon1 p.K28M. ---- The collective findings are consistent with a diagnosis of diffuse midline glioma, H3 K27M-mutant, CNS WHO grade 4.
