Table of Contents



Washington University Experience | NEOPLASMS (GLIAL) | Diffuse midline glioma, H3 K27-altered | 4A2 Diffuse midline glioma (DIPG) (Case 4) T1 W

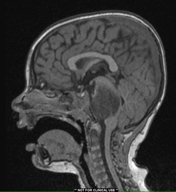
4A2 Diffuse midline glioma (DIPG) (Case 4) T1 W
4A2,3 The mass is hypointense in these T1-weighted scans with contrast.


Gallery RSS RSS Feed | Archive View | Login | Powered by Zenphoto