Table of Contents
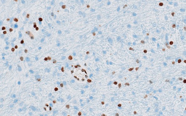
Washington University Experience | NEOPLASMS (GLIAL) | Diffuse midline glioma, H3 K27-altered | 4D2 Diffuse midline glioma, (Case 4) H3K27me3 4
Immunolocalization of H3K27me3 is negative in tumor cells but stains non-tumor cells and endothelium. (H3K27me3 IHC)
