Table of Contents
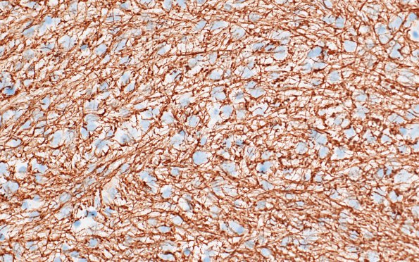
Washington University Experience | NEOPLASMS (GLIAL) | Diffuse midline glioma, H3 K27-altered | 4G Diffuse midline glioma, (Case 4) NF 1
Neurofilament highlights axons throughout the lesion, confirming the infiltrative nature of the tumor. ---- Not shown: The vast majority of tumor cell nuclei show expression of ATRX. Scattered tumor cell nuclei show reactivity for p53. ---- We rendered the following integrated diagnosis: “Diffuse midline glioma, H3K27M-mutant, WHO Grade IV.”
