Table of Contents
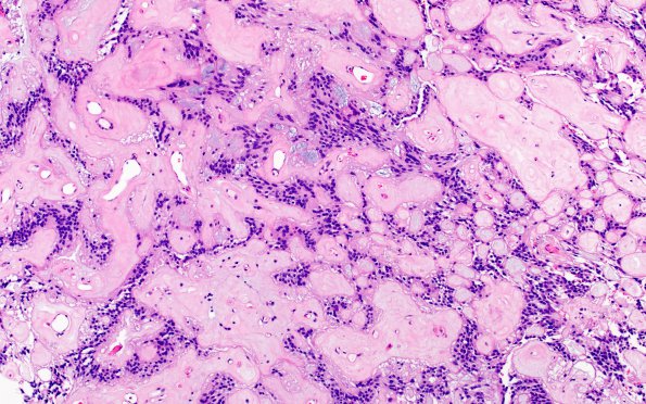
Washington University Experience | NEOPLASMS (GLIAL) | Ependymoma, myxopapillary | 11A3 Ependymoma, myxopapillary (Case 11) H&E 3
There is focal papillary architecture with cuboidal to elongated cells radially arranged along strongly hyalinized fibrovascular core. (H&E)
