Table of Contents
Washington University Experience | NEOPLASMS (GLIAL) | Ependymoma, myxopapillary | 17A2 Ependymoma, myxopapillary (Case 17) T1 W (3) - Copy
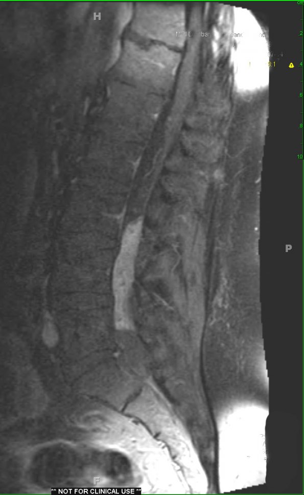
MRI examination shows a boxcar shaped mass as viewed with T1-weighted scan with contrast (17A2) and T2-weighted scans.
