Table of Contents
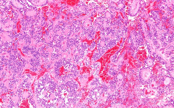
Washington University Experience | NEOPLASMS (GLIAL) | Ependymoma, myxopapillary | 22A1 MPE (Case 22) H&E 10X 1
Case 22 History ---- The patient is a 23-year-old man presenting with low back pain and several enhancing masses in the sacral canal. Operative procedure: S1-S3 laminectomy with decompression and intradural tumor resection. ---- 22A1-4 H&E-stained sections show a well-circumscribed neoplasm composed of mildly pleomorphic cells with eosinophilic cytoplasm and slightly distinct borders which are organized around papillae with fibrovascular cores. Most of these papillae envelop nests of myxoid material. Mitoses are present (up to 2/10 HPF) but not abundant. (H&E)
