Table of Contents
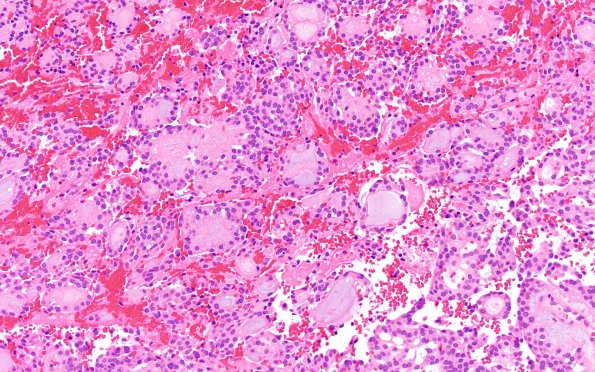
Washington University Experience | NEOPLASMS (GLIAL) | Ependymoma, myxopapillary | 22A2 MPE (Case 22) H&E 20X 1
H&E-stained sections show a well-circumscribed neoplasm composed of mildly pleomorphic cells with eosinophilic cytoplasm and slightly distinct borders which are organized around papillae with fibrovascular cores. Most of these papillae envelop nests of myxoid material. Mitoses are present (up to 2/10 HPF) but not abundant. (H&E)
