Table of Contents
« prev
next »
Washington University Experience
|
NEOPLASMS (GLIAL)
|
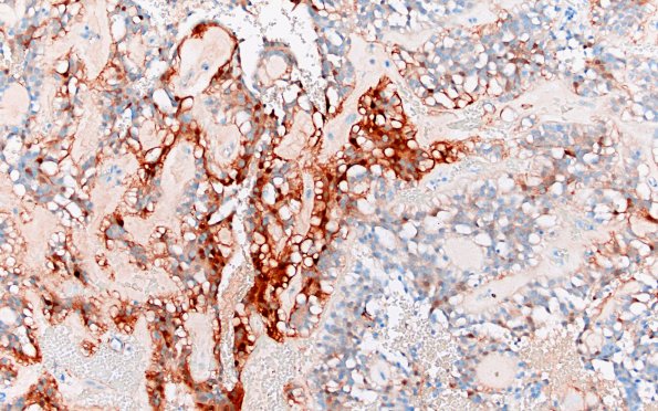
Ependymoma, myxopapillary
|
22D MPE (Case 22) S100 20X 2
The tumor cells exhibit cytoplasmic S100 immunoreactivity. (S100 IHC)
Image Info
Camera Maker:
Olympus
Camera Model:
DP74
Shutter Speed:
37/45679 sec
Metering Mode:
Multi-Spot
Gallery RSS
|
Archive View
|
Login
|
Powered by
Zenphoto