Table of Contents
« prev
next »
Washington University Experience
|
NEOPLASMS (GLIAL)
|
Ependymoma, myxopapillary
|
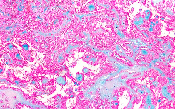
22E1 MPE (Case 22) Alcian Blue 10X
22E1,2 Alcian Blue highlights the myxoid matrix in portions of the tumor. (Alcian blue)
Image Info
Camera Maker:
Olympus
Camera Model:
DP74
Shutter Speed:
23/50000 sec
Metering Mode:
Multi-Spot
Gallery RSS
|
Archive View
|
Login
|
Powered by
Zenphoto