Table of Contents
« prev
next »
Washington University Experience
|
NEOPLASMS (GLIAL)
|
Ependymoma, myxopapillary
|
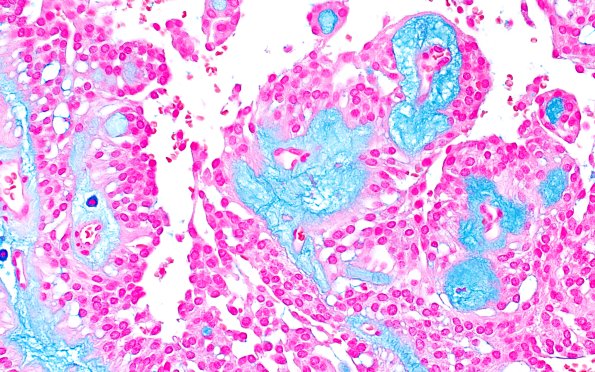
22E2 MPE (Case 22) Alcian Blue 40X
Alcian Blue highlights the myxoid matrix in portions of the tumor. (Alcian blue)
Image Info
Camera Maker:
Olympus
Camera Model:
DP74
Shutter Speed:
49/12500 sec
Metering Mode:
Multi-Spot
Gallery RSS
|
Archive View
|
Login
|
Powered by
Zenphoto