Table of Contents
Washington University Experience | NEOPLASMS (GLIAL) | Ependymoma, myxopapillary | 3B3 Ependymoma, myxopapillary (Case 3) H&E 3.jpg
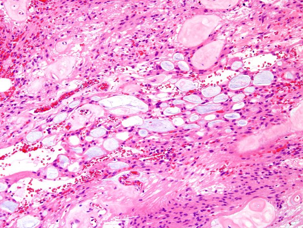
H&E stained sections show multiple fragments of a well-circumscribed, partially encapsulated, ependymal neoplasm. There are some areas of bland infarct-type necrosis. There are patchy areas of microcysts that contain extracellular pale basophilic material. There are abundant thickened and hyalinized vessels.
