Table of Contents
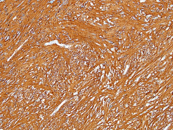
Washington University Experience | NEOPLASMS (GLIAL) | Ependymoma, tanycytic | 2B1 Ependymoma, tanycytic (Case 2) GFAP 3
2B1,2 The tumor is strongly and diffusely GFAP positive. The histomorphologic appearance and immunohistochemical profile of this lesion are those of an ependymoma, tanycytic variant. The numerous enlarged, pleomorphic cells are likely a degenerative change.
