Table of Contents
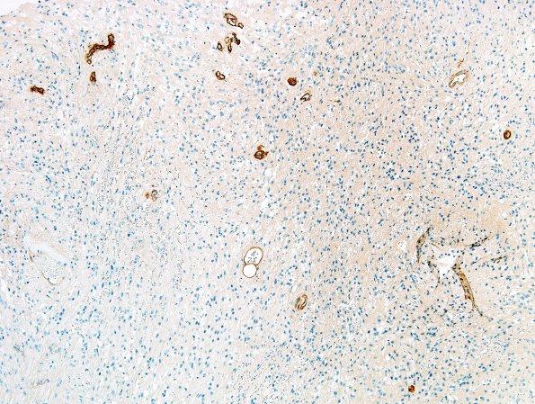
Washington University Experience | NEOPLASMS (GLIAL) | Ependymoma, tanycytic | 4F1 Ependymoma, tanycytic (Case 4) Coll IV 1
4F1,2 Immunohistochemistry for collagen IV highlights only the vessels as opposed to solid staining of tumor cells in Schwannoma.
