Table of Contents
Washington University Experience | NEOPLASMS (GLIAL) | Ependymoma, tanycytic | 7B1 Ependymoma, (Case 7) H&E 4
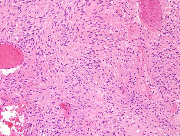
7B1-5 The tumor is composed of a cellular proliferation of cells with spindled morphology and round, ovoid, and spindle-shaped nuclei. Most of the cells have elongated, eosinophilic processes with indistinct cell borders. The nuclei are rather bland-appearing, predominantly ovoid in shape with mild contour irregularities and smooth, finely granular to vesicular chromatin; scattered atypical forms are identified. Vessels also show perivascular chronic inflammatory infiltrate, hemosiderin-laden macrophages and extracellular hemosiderin deposition resembling Schwannoma.
