Table of Contents
Washington University Experience | NEOPLASMS (GLIAL) | Ependymoma - Microscopic | 12B1 Ependymoma, anaplastic (Case 12) H&E 10
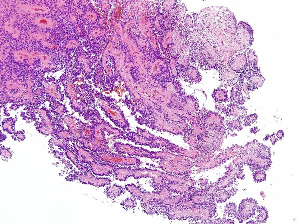
12B1-5 This is a hypercellular glial neoplasm with a nodular and trabecular architecture that forms numerous perivascular rosettes and true 'ependymal' rosettes that have central lumens and terminal bars. The neoplastic cells have predominantly ovoid nuclei with mild contour irregularities, stippled chromatin, and inconspicuous nucleoli. They have indistinct cell-cell borders and fibrillary cytoplasm oriented in a tangential fashion with respect to adjacent rosettes. Portions of the specimen are markedly hypercellular and show easily identified and numerous mitoses [i.e. 3 mitoses observed in a single high power (40x objective) field]. Although many portions of the specimen show a single layer of cells surrounding rosettes, there are also numerous areas where nuclei show variable degrees of overlap, crowding, and multi-layering. Portions of the specimen show necrosis and the presence of a mixed inflammatory infiltrate.
