Table of Contents
« prev
next »
Washington University Experience
|
NEOPLASMS (GLIAL)
|
Ependymoma - Microscopic
|
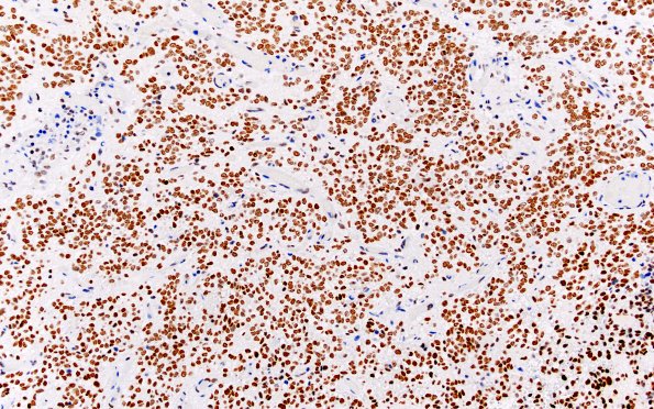
26F Ependymoma, Grade III, ZFTA fusion (Case 26) BRG1
Tumor cells were immunoreactive for BRG1 (26F) and cyclinD1 (26G).
Image Info
Camera Maker:
Olympus
Camera Model:
DP74
Shutter Speed:
9/7438 sec
Metering Mode:
Multi-Spot
Gallery RSS
|
Archive View
|
Login
|
Powered by
Zenphoto