Table of Contents
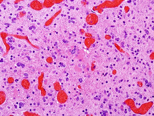
Washington University Experience | NEOPLASMS (GLIAL) | Ependymoma - Microscopic | 7B5 Ependymoma with focal anaplasia & Red Crunchies (Case 7) H&E 3
7B5-7 A subpopulation of tumor cells have eosinophilic granular cytoplasm. (H&E)
