Table of Contents
* Check/uncheck all *
City
Country
Description
Location/Place
State
Tags
Title
Washington University Experience
|
NEOPLASMS (GLIAL)
|
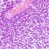
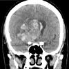
Glioblastoma, adenoid pattern (7)
« prev
1
...
5
6
7
8
9
...
14
next »
Gallery RSS
|
Archive View
|
Login
|
Powered by
Zenphoto