Table of Contents
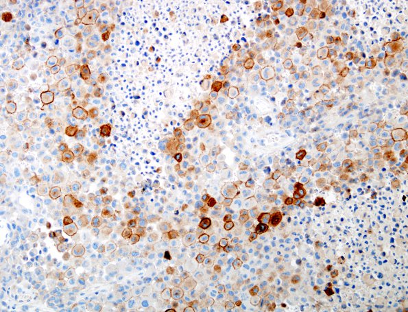
Washington University Experience | NEOPLASMS (GLIAL) | Glioblastoma, epithelioid | 5D GBM, Epithelioid features (Case 5) EMA 1
EMA shows patchy membranous staining within the tumor. ---- Immunohistochemical studies (performed but not shown): progesterone receptor, desmin, melanin-A, CAM 5.2, CK 7, and CK 20 all show no significant staining within tumor cells. A stain for melanin-A shows rare immunoreactive cells, the significance of which, if any, in this setting is unknown. BAF47 (INI1) shows retained nuclear immunoreactivity within the tumor cells.
