Table of Contents



Washington University Experience | NEOPLASMS (GLIAL) | Glioblastoma, giant cell | 5A6 GBM, giant cell (Case 5) H&E 5

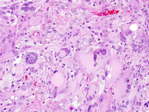
5A6 GBM, giant cell (Case 5) H&E 5
Additional images of the neoplasm. (H&E)


Gallery RSS RSS Feed | Archive View | Login | Powered by Zenphoto