Table of Contents
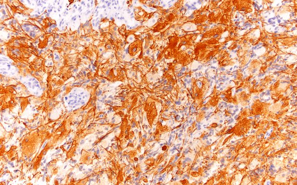
Washington University Experience | NEOPLASMS (GLIAL) | Glioblastoma, granular cell type | 2B2 Glioblastoma, granular cell type (Case 2) GFAP 20X 3
Immunohistochemical stains performed show that both the cell populations are strongly positive for glial fibrillary acidic protein (GFAP IHC)
