Table of Contents
« prev
next »
Washington University Experience
|
NEOPLASMS (GLIAL)
|
Glioblastoma, granular cell type
|
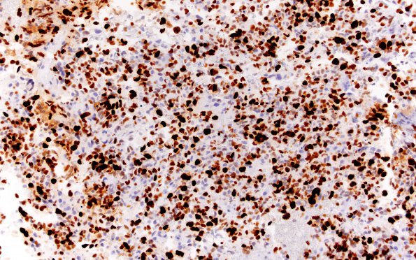
2C Glioblastoma, granular cell type (Case 2) Ki67 20X
The Ki-67 labeling index is very high.
Image Info
Camera Maker:
Olympus
Camera Model:
DP74
Shutter Speed:
1/1000 sec
Metering Mode:
Multi-Spot
Gallery RSS
|
Archive View
|
Login
|
Powered by
Zenphoto